病理是诊断肺结节的“金标准”。当肺结节不能明确性质时,在符合适应症同时排除穿刺相关禁忌症后,CT引导下经皮肺穿刺活检技术结合病理检查可 “验明正身”。

日前,一位62岁的患者因“发热1周,咳嗽、背痛3天”,前来宝鸡市中心医院港务区院区港务区院区呼吸与危重症医学科就诊。患者入院后,科室医生在完善胸部CT后发现其右肺上叶占位性病变,支气管镜活检病理未见癌细胞。为进一步查清病因,科室副主任李志强与主管医师孙清清、医学影像科武宝华副主任医师讨论后,决定为患者行CT引导下经皮肺穿刺活检术。

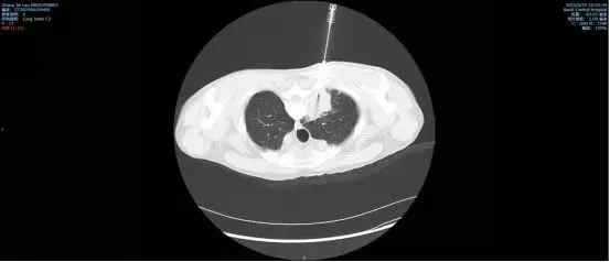
术中,医生先为患者行肺部CT扫描,重建肺部二维及三维图像,设计最佳穿刺路径,精准计算穿刺进针位置,同时做好术后并发症处理预案。随后,在李志强副主任、孙清清医生以及医学影像科武宝华副主任医师的紧密配合和紧密协作,最终肺穿刺活检顺利完成并成功获取病变组织标本。
整个穿刺过程仅用时半个小时,患者无明显出血、气胸等并发症发生。术后,病变组织标本被送往病理科。病理诊断提示未见肿瘤细胞,肿瘤依据不足,提示结核可能。在明晰诊断,医生给予对症治疗后,患者发热、咳嗽、背痛等症状得到了明显改善。(供稿:宝鸡市中心医院)
责编:杜鹏飞
编辑:刘静