近日,延安市中医医院(北京大学第三医院延安分院)肺病科成功完成一例高难度CT引导下肺穿刺活检术,精准获取了优质、足量的病理标本,为患者下一步规范化诊疗方案的制定提供了有力支持,为挽救生命赢得了宝贵时间。
一名72岁的男性患者,因头晕、头痛曾在当地医院就诊,行头颅核磁示:额顶交界区结节件周围明显水肿,考虑脑部转移瘤,胸部CT显示左肺上叶尖后段结节较之前略增大,双肺细支气管炎。行支气管镜检查发现病变位于支气管腔外,未能取到病理组织。为求进一步诊治患者就诊于省级三甲医院,经过会诊讨论后,告知患者家属左肺上叶结节恶性可能性大,头部考虑转移所致,但左肺上叶结节位置不好,结节过小,同时有肋骨和肩胛骨的阻挡,穿刺活检较困难,建议三个月后复查胸部CT和头颅核磁,只能返回延安休养。后来患者和家属听闻该院已成功完成多例此类穿刺活检术,为求进一步诊治,来到该院肺病科寻求帮助。
接诊患者后,肺病科主任谢加利、副主任艾克东联合影像中心主任王保奇为患者会诊。

谢加利主任介绍:
“当看到患者的CT片后,结节过小,不足1.3cm,穿刺路径上有肋骨、肩胛骨阻挡,而且患者正常呼吸时肺的活动度很大,需要一针到位,稍有不慎就会引发气胸风险,一旦气胸掩盖结节,穿刺将无法进行,给患者造成不可挽回的损伤。”
为帮助患者查清病因得到更好的救治,肺病科团队决定奋力一搏。为患者开展CT引导下肺穿刺活检术。

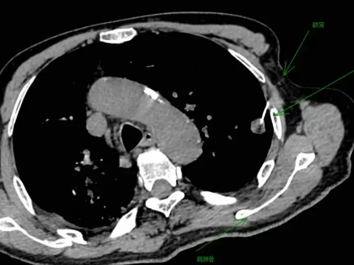
肺病科谢加利主任和副主任艾克东反复对比患者的CT图像,利用二维、三维重建技术,仔细分析患者病变的位置,辨别病变与血管、支气管等重要脏器之间的关系,充分做好术前准备,与患者及家属沟通并征得同意后,为患者实施CT引导下肺穿刺活检术。术中发现,由于体位的关系,病变位置有所变化,穿刺难度比预想的更大,从侧面根本无法进针。在谢加利主任的指导下,艾克东副主任临危不惧,结合CT引导,让患者取左侧垫高位,在腋窝选取进针路线,娴熟定位很快到达病灶,精准穿刺顺利取得病理组织,全程操作快、准、稳。术后病理诊断为腺癌,为患者下一步治疗提供了依据。
随着CT引导下经皮肺穿刺活检术的成熟开展,标志着该院在肺病诊断、检查领域技术水平有了很大的提高,越来越多的患者得到了及时、准确的诊断。肺病科将继续秉承“一切以病人为中心,以优质服务为核心”的服务理念,以高尚的医德、精湛的医术和优质的服务,竭诚为患者的健康保驾护航。(艾克东)
责编:杜鹏飞
编辑:李瑶


